¡ÒÌâä»Í´ÃкҴ

·Ò§¡ÒèչÊÑè§»Ô´àÁ×ͧ¨×èÍà¤Í¶Ò¹ã¹Á³±ÅªÔ§äËè ·Ò§ÀÒ¤µÐÇѹµ¡¢Í§¨Õ¹ à¾×èÍ»éͧ¡Ñ¹¡ÒÌâä»Í´á¾ÃèÃкҴä»Âѧ¾×é¹·ÕèÍ×è¹ ËÅѧâä¹Õé¤ÃèÒªÕÇÔµ»ÃЪҪ¹ä»áÅéÇ 2 ¤¹ ¡ÃзÃǧÊÒ¸ÒÃ³ÊØ¢¨Õ¹ á¶Å§ÇèÒ ä´éÊÑè§»Ô´àÁ×ͧ¨×èÍà¤Í¶Ò¹ ࢵ·ÕèÍÂÙèÍÒÈÑ¢ͧª¹¡ÅØèÁ¹éͪÒÇ·Ôີ «Öè§ÁÕ»ÃЪҡÃÃÒÇ 10,000 ¤¹ áÅо×é¹·Õèã¡Åéà¤Õ§ ËÅѧ¾º¡ÒÌâä»Í´ÃкҴ áÅÐÁÕ¼ÙéµÔ´àª×éÍ 10 ¤¹ ¨Õ¹à¼ªÔ­¡ÒÌâäÃкҴà»ç¹ÃÐÂÐ æ â´Ââä¹ÕéÁÕÊѵÇì¿Ñ¹á·Ð áÅÐàËçº ËÁÑ´ à»ç¹¾ÒËйÓâä ÊÓËÃѺ¡ÒÌâä»Í´ á¾ÃèÃкҴ·Ò§ÍÒ¡ÒÈ ·ÓãËéàª×éÍá¾ÃèÃкҴä´é§èÒÂÃÐËÇèÒ§¤¹.ÿ
¡ÒÌâä (Plague) ÊÒà˵Øà¹×èͧÁÒ¨Ò¡àª×éÍẤ·ÕàÃÕ ¡ÒÌâäà»ç¹âäµÔ´µèÍ·ÕèÁÕÍѹµÃÒÂÃéÒÂáç·ÕèÊØ´ àÁ×èÍÁÕ¡ÒÃà¡Ô´âä¹Õéµéͧá¨é§¤ÇÒÁµÒÁ¾ÃÐÃÒªºÑ­­ÑµÔ»éͧ¡Ñ¹âäµÔ´µèÍ ¾.È.2523

¡Òûéͧ¡Ñ¹áÅФǺ¤ØÁ
ÿÿÿÿÿÿÊÓÃǨ˹ٷÕèÍÂÙèÍÒÈÑÂ㹺ÃÔàdzºéÒ¹áÅСӨѴ´Ñ§¹Õé ¤ÇáӨѴ˹١è͹â´ÂãªéÊÒÃà¤ÁÕ»ÃÐàÀ· carbamate âÃÂäÇéµÃ§·Ò§à´Ô¹¢Í§Ë¹ÙáÅШҡ¹Ñé¹ã¹ÇÑ¹ÃØè§¢Öé¹ ¨Ö§·Ó¡Òôѡ˹ÙáÅÐàº×èÍ˹٠àÁ×èʹѡ˹Ùä´éáÅéÇãËé©Õ´ÂÒ¦èÒáÁŧ»ÃШӺéÒ¹©Õ´¾è¹ä»º¹µÑÇ˹١è͹à¾×èÍ·ÓÅÒÂËÁѴ˹ٷÕèÂѧ¤§àËÅ×ÍáÅШҡ¹Ñ鹨֧¦èÒ˹٠¡ÒÃá¾Ãèàª×éÍÃÐËÇèÒ§»ÃÐà·Èä´é 3 ·Ò§ ·Ò§ÍÒ¡ÒÈ â´Â¼èÒ¹·Ò§ÊÒ¡ÒúԹµèÒ§æ ·Ò§º¡ â´Â¡ÒÃà´Ô¹·Ò§à¢éÒÊÙè·Ò§ªÒÂá´¹¢Í§»ÃÐà·È áÅзҧàÃ×Íâ´ÂÊÒà ¤¹ ËÁѴ˹٠¹Óàª×éÍâäà¢éÒÁҡѺ¡ÒÃà´Ô¹·Ò§¹Õé ´Ñ§¹Ñ鹤ÇÃÁÕÁҵáÒäǺ¤ØÁ áÅÐà½éÒÃÐÇѧ¡ÒÌâä à¾×èÍ»éͧ¡Ñ¹¡ÒÃÃкҴáÅФǺ¤ØÁ¡ÒÃá¾Ãè¡ÃШÒ¢ͧàª×éÍ¡ÒÌâäÍÂèÒ§à¤Ã觤ÃÑ¡ÒõԴµèÍÁÒÊÙ褹â´ÂÁÕËÁѴ˹Ùà»ç¹¾ÒËÐâä «Öè§ÍÒÈÑÂÍÂÙ躹˹ٷÕèà»ç¹âäâ´ÂËÁѴ˹٨СѴ¤¹áÅлÅèÍÂàª×éÍà¢éÒ·Ò§ÃÍÂá¼Å àªè¹à´ÕÂǡѺ¡ÒõԴµèÍÃÐËÇèÒ§ÊѵÇì¡ÑºÊѵÇì
¡ÒÃÃÑ¡ÉÒ
ÿÿÿÿÿÿ¼Ùé»èÇ¡ÒÌâäµéͧÃÑ¡ÉÒâ´Âá¡Ëéͧ (isolation) à¾×èÍÁÔãËéàª×éÍá¾Ãè¡ÃШÒÂàª×é͹Õé¤ÇÒÁäǵèÍ Tetracyline, Streptomycin, Chloramphenical, Kanamycin áÅÐ Sulfonamides ÊèǹÂÒ¡ÅØèÁ Penicillin ÁÑ¡ãªéäÁèä´é¼Å´ÕáÅСÒÃÃÑ¡ÉÒâäá·Ã¡«é͹ÁÕ¤ÇÒÁ¨Óà»ç¹ ºØ¤Åҡ÷Õè·Ó¡ÒÃÃÑ¡ÉÒµéͧÁÕ¤ÇÒÁÃÐÁÑ´ÃÐÇѧÍÂèÒ§à¤Ã觤ÃÑ´´éÒ¹¡Òûéͧ¡Ñ¹¡ÒõԴàª×éÍ â´ÂÊÇÁ¶Ø§Á×ͻԴ»Ò¡áÅШÁÙ¡¤Ç÷ÓÅÒÂàª×éͨҡàÅ×Í´ ¹éÓàËÅ×ͧáÅÐ˹ͧ¢Í§¼Ùé»èÇ à¾×èÍ»éͧ¡Ñ¹¡ÒõԴàª×éÍáÅСÒÃá¾Ãè¡ÃШÒ¢ͧàª×éÍ

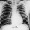
ÍÒ¡Òâͧâä¡ÒÌâä»Í´ : ÍÒ¡Ò÷ѹ㴠ä¢éÊÙ§ ˹ÒÇÊÑè¹ »Ç´ËÑÇÃØ¹áç ÍÒ¡ÒÃäÍà¡Ô´¢Öé¹ã¹ 24 ªÑèÇâÁ§ àÊÁËе͹ááà˹ÕÂÇãÊáÅéÇ¡ÅÒÂà»ç¹ÊÕʹÔÁËÃ×Íá´§Ê´ ÁÑ¡äÁèÁÕ»×é¹á¼Å㹻ʹ ¶éÒäÁèÃÑ¡ÉÒ : µÒÂÀÒÂã¹ 48 ªÑèÇâÁ§

ÃÙ»ÀÒ¾·Õèà¡ÕèÂÇ¢éͧ

µÔªÁ


µéͧ¡ÒÃãËé¤Ðá¹¹º·¤ÇÒÁ¹Õéè ?

ÊÃéÒ§â´Â :


napart

ʶҹР: ¼Ùéãªé·ÑèÇä»
¡ÒÃâçáÃÁáÅСÒ÷èͧà·ÕèÂÇ